| 由我院肺部肿瘤内科李凯主任领导进行的抗癌新药安罗替尼临床试验有望为抗拒常规治疗的晚期肺癌带来新的希望。由于发病隐蔽,80%的肺癌就诊时已失去根治手术机会,内科治疗成为稳定疾病、延长生存的唯一手段,其中以初治(一线治疗)效果最好,如无效而更换方案(二线治疗)则往往仅能达到初治疗效的1/3;若再无效,三线治疗方案的有效率多已不足15%。因此,国内、外对三线及以上治疗并无公认的有效方案,此时的肿瘤也被称为“顽固耐药性肿瘤”。
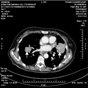
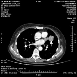
安罗替尼是一种作用于肿瘤细胞内多个靶点的抗癌新药,可通过诱导细胞凋亡杀死主要肿瘤,还可通过抑制肿瘤新生血管生成、断绝其营养供应而“饿死”残余肿瘤。由于其独特的抗癌机制,其对已抗拒传统药物的肿瘤细胞仍可能有效、从而为接受三线及以上治疗的患者带来了希望。在目前进行的试验中,一例有双肺转移、已经历六种治疗、肿瘤依然进展的患者在安罗替尼治疗三周后双肺病灶缩小累积接近50%,取得了既往治疗未达到过的效果。

治疗前的双肺肿瘤(箭头所示)
治疗后肿瘤明显缩小(箭头所示)
|