公众版
员工版
互联网医院
English
医院首页
医院概况
新闻中心
就诊指南
科室专家
护理天地
健康科普
互联网医院
 
您当前的位置 : 天津市肿瘤医院  >  临床科室  >  骨与软组织肿瘤科  >  学科动态
 
挑战半骨盆肿瘤切除及个体化精准重建成功!
 时间: 2020-11-24  来源: 
 
  

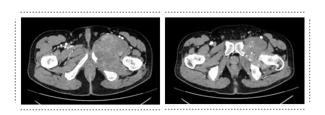
  近日,天津医科大学肿瘤医院骨与软组织肿瘤科杨吉龙主任手术团队在软组织肿瘤组负责人邢汝维主任的带领下,为一例骨盆区域巨大滑膜肉瘤患者顺利实现了骨盆肿瘤的关节外切除,并完成了骨盆的精准个性化重建,堪称精彩。该病例为天津医科大学肿瘤医院博鳌外科直播周直播精彩病例之一,众多业界同行和专家在线观看了直播并进行了互动。

  为了控制肿瘤生长,预防转移,杨吉龙主任没有马上为其安排手术。而是组织了包括病理科、输血科、介入科、放射科、重症监护科、手术室等在内的肉瘤MDT多学科团队会诊。

  经肉瘤MDT团队的讨论,决定先采取科室特色大剂量化疗联合抗血管生成治疗对患者进行术前的新辅助治疗。经过3周期的化疗后,影像学评估患者的肿瘤部分缩小。专家团队一致认为手术时机成熟。

  杨吉龙主任团队利用三维数字化重建及3D建模技术首先建立了肿瘤的3D模型,并利用3D模型进行了计算机模拟的肿瘤切除,确定了安全的手术边界,并精准定制用于重建的半骨盆及髋关节。

  2020年11月18日,在邢汝维主任、杨蕴主任及滕胜主任的指导下,杨吉龙主任与赵军主任带领手术团队历时5个半小时,出血约1900毫升,顺利、精准、圆满完成半骨盆切除及重建。

  目前患者已顺利度过了术后危险期,伤口及皮瓣均一期愈合,将开展进一步术后辅助治疗。

  该手术也由博鳌外科直播进行了全网直播,获得了业内人士的一致好评。骨与软组织肿瘤科软组织肿瘤组将依托我院平台优势,利用多学科综合诊疗(MDT),积极开展更多高难度肿瘤切除和功能重建手术,继续挑战医学领域的“不可能”,让更多的肿瘤患者受益!

 

  供稿 |骨与软组织肿瘤科软组织肿瘤组

  编辑 | 宣传处朱芸、杨阳

  摄影 | 宣传处张世彤、杨阳

 
 
 
 
法律声明 | 联系我们
Copyright @ 2005 Tianjin Medical University Cancer Institute and Hospital. All rights reserved.
天津市肿瘤医院(天津医科大学肿瘤医院) 版权所有 津教备0005号 津ICP备05002861号
中文域名:天津市肿瘤医院.公益 天津医科大学肿瘤医院.公益