公众版
员工版
互联网医院
English
医院首页
医院概况
新闻中心
就诊指南
科室专家
护理天地
健康科普
互联网医院
 
您当前的位置 : 天津市肿瘤医院  >  新闻中心  >  医疗动态
 
天津医科大学肿瘤医院成功开展天津市首例难治性宫颈癌三维插植近距离放疗
 时间: 2021-03-26  来源: 天津市肿瘤医院
 
  

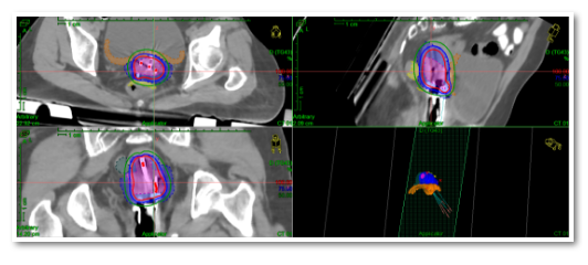
  天津医科大学肿瘤医院放射治疗科在院领导和科室主任推动下,积极开展影像引导下的肿瘤个体化三维插植近距离放疗。3月12日,中国抗癌协会近距离放疗专委会常委、天津市医学会妇科肿瘤学分会常委、天津医科大学肿瘤医院放射治疗科副主任医师陈杰团队在近距离治疗室、物理室、CT定位室的密切配合下,针对两名宫颈癌外照射后宫旁肿瘤消退不明显的患者,进行了CT引导下的三维插植后装放疗,成功完成了天津市首例难治性宫颈癌CT引导下三维立体插植近距离放疗

  本次治疗特别邀请在国内率先开展三维近距离放疗的中山大学肿瘤防治中心放疗科叶伟军教授进行技术指导。

  在完成前期准备后,陈杰主任团队将插植针置入患者宫腔,通过放疗专用CT、MR扫描确认并调整插植针的位置,利用三维后装放疗计划系统进行靶区和正常器官的勾画,快速制定放疗计划,精准实施近距离放疗,顺利完成治疗。

  近日,天津医科大学肿瘤医院组织召开天津妇科肿瘤综合治疗高峰论坛,对当前妇科肿瘤放疗新技术应用开展探讨,并就上述2例三维插植近距离放疗病例进行经验分享

  精准、规范、个体化治疗是现代放射治疗的发展方向,由影像引导的三维插植后装放疗技术是一种个体化的精准近距离放疗技术,具有局部肿瘤剂量高,危及器官辐射剂量可控的优点,目前在宫颈癌、阴道癌、外阴癌、子宫内膜癌等妇科恶性肿瘤放疗中,展示出了明显优势。

  在常规采用的二维腔内后装放疗技术中,放疗靶区剂量不足可能是宫颈癌复发的重要原因之一。而组织间三维插植近距离放疗技术,是结合现代CT、MR等定位引导影像系统,将作为施源器的插植针直接插入肿瘤中心进行放射治疗,打破了解剖结构的限制,与既往二维腔内后装放疗相比具有明显的优势。

  影像引导下的三维插植近距离治疗,可以通过三维视角来进行施源器的置入与固定,定位更精确。根据不同靶区,可以采用徒手插植、模板插植、徒手结合模板插植等个体化植入施源器,可以准确地定位肿瘤组织的位置,通过非共面多角度进针,使肿瘤放疗靶体积达到处方剂量要求,在给予高剂量照射的同时,保证肿瘤周围正常组织受到照射的剂量控制在可接受范围内,从而提高患者的治疗效果和安全性,为晚期难治性的妇科肿瘤患者提供了新的治疗希望。

 

  供稿 | 放射治疗科

  摄影 | 宣传处张世彤

 
 
 
 
法律声明 | 联系我们
Copyright @ 2005 Tianjin Medical University Cancer Institute and Hospital. All rights reserved.
天津市肿瘤医院(天津医科大学肿瘤医院) 版权所有 津教备0005号 津ICP备05002861号
中文域名:天津市肿瘤医院.公益 天津医科大学肿瘤医院.公益